Nuclear Magnetic Resonance Imaging

Stacy Renee Sweeney
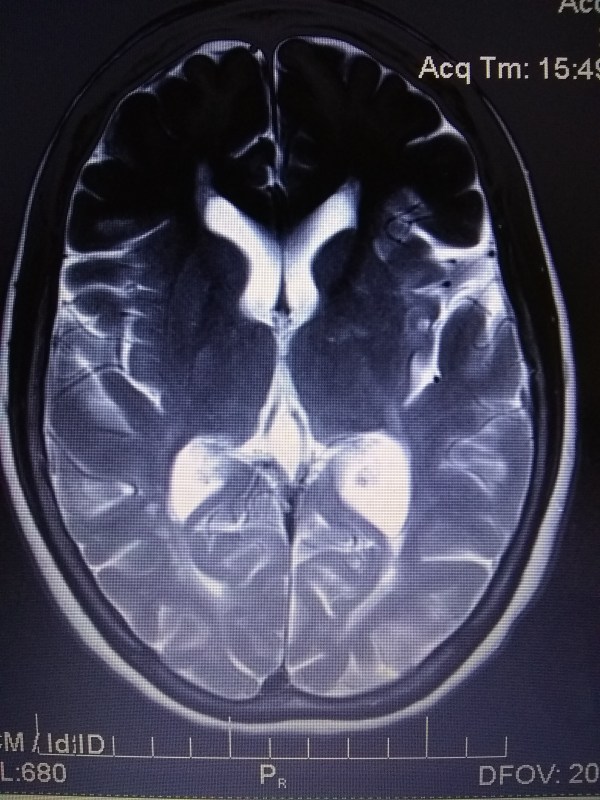
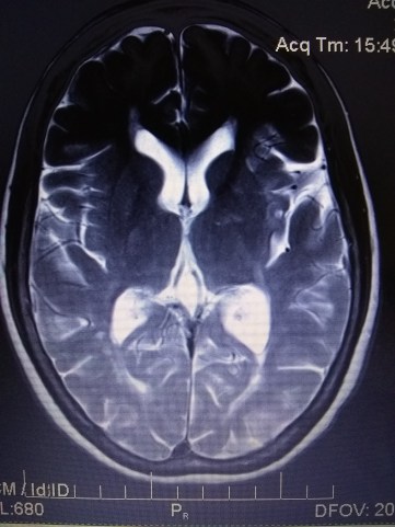
NMRI 2018 June 18
AXIAL T2
SECTION 2/2
IMAGE 12/24
REPORT 2018 June 25: Sub-acute T2 hypersensitivity, left frontal lobe
TREATMENT 2018 June 25: 60mg oral steroids x 16 days. ACTIVITY 2018 June 25: bedrest x 16 days


“O Lord, you have examined my heart and know everything about me. You know when I sit down or stand up. You know my thoughts even when I’m far away. You see me when I travel and when I rest at home. You know everything I do. You know what I am going to say even before I say it, Lord, you go before me and follow me. You place your hand of blessing on my head. Such knowledge is too wonderful for me, too great for me to understand… You made all the delicate, inner parts of my body and knit me together in my mother’s womb. Thank you for making me so wonderfully complex. Your workmanship is marvelous – how well I know it. You watched me as I was being formed in utter seclusion, as I was woven together in the dark of the womb. You saw me before I was born. Every day of my life was recorded in your book. Every moment was laid out before a single day had passed. How precious are your thoughts about me, O God. They cannot be numbered! I can’t even count them; they outnumber the grains of sand! And when I wake up, you are still with me!” – Psalms 139:1-6, 13-18

Nuclear Magnetic Resonance Imaging
I am in this image again for a reason
one fact being more valuable
than a thousand lively blurs
it is sin that crosses the blood-brain barrier
sleep and ice cold baths invigorate the weary body
every trace of the Master’s moving hand
full of qualities I can not understand
every casual impulse that was registered
every trace of the work that went into it – is
and the texture of my brain
whose rippling white matter winds through the warp and grain
even the surface on which my flesh was painted
I will not let the viewer see everything, okay
to feel as if he were looking over my shoulder
and thank you, God, there are no black holes!
~ §tacy §weeney